动态热点
南宁牙博士口腔江南机构,就算牙齿残缺到只有根部的地步,还是能够进行挽救的,不一定要拔牙来解决。毕竟镶牙更复杂和费钱,假牙也没有真牙那么好用。桩核冠是将修复体的一部分(桩)插入根管内获得固位,然后在桩上安装人工牙冠完成牙齿修复。除了残根可以做桩核冠以外,桩核冠的适应症还有许多种。下面我们就一起来听听南宁牙博士口腔江南机构的医生为大家详细介绍一下桩核冠在哪些情况可以做吧。>>点击在线咨询详情<<

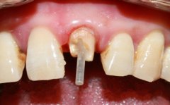
门牙做桩核冠
【桩核冠的适应证】
1.临床冠大部分缺损,无法直接应用冠类修复者。>>点击在线咨询详情<<
2.临床冠完全缺损,断面达龈下,但根有足够长度经过冠延长术或牵引术后可暴露出断面以下最少1.5mm的根面高度,磨牙以下不暴露根分叉为限。
3.错位、扭转牙而非正畸适应证者。桩核冠在哪些情况可以做?>>点击在线咨询详情<<
4.畸形牙直接预备固位形不良者。
【桩核冠的修复时机】
桩核冠修复的前提是需要对患牙进行完善的根管治疗。一般需要在根管治疗后观察一至两周,确认没有任何自发痛、叩痛等临床症状,原有瘘管已经完全愈合,才可以进行桩核冠的修复。根据治疗前患牙的牙髓状况,需要观察的时间长短有所不同:>>点击在线咨询详情<<

桩核冠原理
1.原牙髓正常或有牙髓炎但未累及根尖者,观察时间可以缩短,根管治疗三天后无临床症状,即可开始修复。桩核冠在哪些情况可以做?
2.有根尖周炎的患牙一般需要在根管治疗后观察一周以上,确认没有临床才可开始修复。>>点击在线咨询详情<<
3.根尖周病变范围过大的患牙,应在根管治疗后,等待根尖病病明显减小,并且无临床症状才可以开始桩核冠修复。
桩核冠在哪些情况可以做?以上就是南宁牙博士口腔江南机构医生做出的简单介绍,希望能对您有所帮助,如果对口腔的相关知识还存在疑问或者还有其他关于口腔疾病的问题请点击在线咨询我院医生会针对您的个人情况做出解答。