动态热点
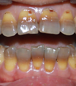
南宁牙博士口腔江南机构大家都是希望自己的牙齿洁白亮丽这样看起来很好看,但是在我们的日常生活中不难发现,有很多人都出现了四环素牙的症状,甚至就连一些儿童也出现了这种症状,可以说四环素牙出现之后对我们而言并不算是什么好事,所以及时做好四环素牙的预防工作还是很重要的。那么,儿童要怎样预防四环素牙呢?下面我们就一起来听听南宁牙博士口腔江南机构的医生为大家详细介绍一下吧。>>点击在线咨询详情<<

儿童要怎样预防四环素牙?
一、避免在婴幼儿时期给孩子服用含四环素牙的药物,虽然很多大型医院,儿科已经禁止用四环素牙药物,但是还有不少药店、小医院有此类药物,家长在选择时应多加注意。>>点击在线咨询详情<<
二、为了切实有效的预防儿童四环素牙,妈妈们一定要避免在怀孕前以及怀孕期间服用各类四环素类药物。儿童要怎样预防四环素牙?>>点击在线咨询详情<<
以上就是南宁牙博士口腔江南机构医生做出的简单介绍,希望能对您有所帮助,如果对口腔的相关知识还存在疑问或者还有其他关于口腔疾病的问题请点击在线咨询我院医生会针对您的个人情况做出解答。