动态热点
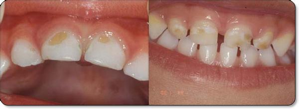
宝宝平均六个月左右就开始长牙了,那时候还在哺乳期,宝宝还离不开奶瓶。如果这时候爸妈没有注意宝宝口腔卫生的话,宝宝就很容易患上奶瓶龋。奶瓶龋对乳牙伤害很大,对后来恒牙萌出危害较大。乳牙若是因为奶瓶龋过早缺失,恒牙发育可能因此而不顺,容易发生错颌畸形的情况。那么,奶瓶龋要怎么补牙呢?>>点击在线咨询详情<<

一、对浅龋患牙, 可采用敷药法。
用挖匙、慢钻及小砂石等去除龋坏组织,加大前牙邻间隙,用棉条隔湿,于每个患牙的龋蚀部位涂擦75%氟化钠甘油约1min;1次/ 周,1月1疗程,3个月重复治疗。中、深度龋患牙,去尽腐质,备一定洞形,常规充填,洞边及牙面窝沟处同前法涂擦,预防继发龋的发生。>>点击在线咨询详情<<
二、 对于缺损严重的患牙,可采用树脂嵌体美容修复法。
树脂嵌体组采用了牙体预备加根管桩道预备结合,增加了嵌体的固位性和黏结面积,疗效明显提高。桩道深度< 根长1/ 2, 不影响乳牙根吸收以及正常替换,成功率为90%。
1、牙体预备:唇、舌、咬面、切端均匀磨去1. 5mm厚的牙体,消除倒凹,颈缘处形成0. 5mm宽肩台。>>点击在线咨询详情<<
2、根管预备:用P钻备出桩道,深约为根长的1/ 2,直径约1. 5~ 2mm。>>点击在线咨询详情<<

奶瓶龋症状
3、用寒天印模材取桩,用藻酸盐印模材制取阴模,翻制超硬石膏模型。>>点击在线咨询详情<<
4、在石膏模型上涂分离剂,进行树脂比色,多选用日本松风公司生产的聚合体B1 色树脂进行分层光固化塑形修复。
5、从石膏模型上取下树脂嵌体再次光固化树脂内面,打磨、抛光、完成桩核一体树脂嵌体。>>点击在线咨询详情<<
6、放入口内试戴,检查就位情况,边缘密合度,调咬,用玻璃子粘固粉粘结固定。>>点击在线咨询详情<<
以上就是南宁牙博士口腔江南机构医生做出的简单介绍,希望能对您有所帮助,如果对口腔的相关知识还存在疑问或者还有其他关于口腔疾病的问题请点击在线咨询我院医生会针对您的个人情况做出解答。