动态热点
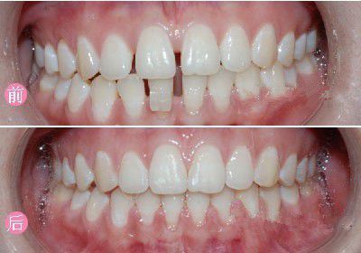
现在小孩子齿方面的问题也是得到了大人们的关注,就好像有的小孩子的牙齿稀疏的问题方面,许多家长对于小孩子牙齿稀疏的原因也是比较困惑的。那么,小孩子牙齿稀疏的原因有哪些?下面我们就一起来听听南宁牙博士口腔江南机构的医生为大家详细介绍一下吧。>>点击在线咨询详情<<

小孩子牙齿稀疏的原因有哪些?
1、乳牙稀疏有缝又叫做生理间隙,这些间隙的存在,对于较大的恒牙萌出后排齐是很有利的。这种情况会多见于小孩子的替牙时期,常见于6一9岁之间,是一种暂时性的错合畸形现象,在牙齿替换完成后并建立了新的咬合关系后,多可恢复正常。>>点击在线咨询详情<<
2、替牙时,两个上门牙间有缝隙,这是替牙过程中的一种暂时现象。随着恒侧切牙、尖牙的萌出,间隙逐渐减小到完全自然消失但是当上门牙间的缝隙较大时,需要请医生检查是否有多生牙存在。小孩子牙齿稀疏的原因有哪些?>>点击在线咨询详情<<
3、恒牙的稀疏有缝,一种是恒牙的形态较小如锥形牙或过小牙。另一种是恒牙有先天性缺牙,都可以到口腔医院通过正畸或修复的方法来关闭缝隙。>>点击在线咨询详情<<
以上就是南宁牙博士口腔江南机构医生做出的简单介绍,希望能对您有所帮助,如果对口腔的相关知识还存在疑问或者还有其他关于口腔疾病的问题请点击在线咨询我院医生会针对您的个人情况做出解答。