动态热点
烤瓷牙自问世以来就广受欢迎,是一种非常常见的牙科修复手段,那么哪些牙齿状况适合用烤瓷牙修复呢?牙齿小而稀疏能做烤瓷牙吗?对此,我们来听听南宁牙博士口腔江南机构医生怎么说。

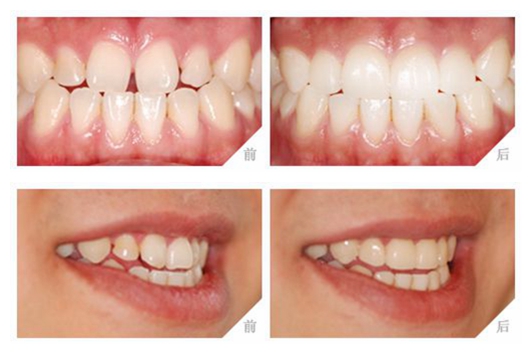
根据南宁牙博士口腔江南机构医生的介绍,烤瓷牙是通过在牙齿表面重新套上一层烤瓷牙冠,以此遮盖患牙,恢复牙齿正常的外观形态。烤瓷牙的使用范围很广,对于一些牙齿缺失、缺损、变色以及形态不佳的情况,都可以用烤瓷牙进行修复。>>点击在线咨询详情<<
那么针对牙齿小而稀疏的情况是否可以做烤瓷牙呢,爱康健口腔专家的回答是可以的。牙齿小而稀疏采用烤瓷牙修复通过将原有的牙齿均匀地磨小,然后再在上面重新套上一层烤瓷牙冠,以此恢复牙齿正常的外观形态并填补缝隙,使牙列形态恢复整齐。>>点击在线咨询详情<<
但值得提醒的是,烤瓷牙在修复过程中磨牙会对牙齿造成一定的损伤,因此要慎重选择。具体是否适合使用烤瓷牙,主要是根据医生的检查判断。而且一定要到正规专业的医疗机构,这样才能保证治疗的效果和安全。>>点击在线咨询详情<<
【温馨提示】:牙齿小而稀疏能做烤瓷牙吗?以上就是关于这个问题的回答,希望对你有所帮助。