蛀牙补牙需要多长时间?蛀牙是比较常见的一种口腔的疾病,喜欢吃甜食的人或是口腔卫生习惯不好的人容易出现蛀牙的困扰。许多人对蛀牙不够重视,病变越发的严重,造成牙齿无法挽留的才后悔没有及时治疗。因此专家呼吁有蛀牙的患者一旦形成马上到及时补牙。那么,蛀牙补牙需要多长时间?下面我们就一起来听听南宁牙博士口腔江南机构的医生为大家详细介绍一下吧。>>点击在线咨询详情<<

患过蛀牙的人或多或少都经历过这些痛苦,吃东西的时候常常会因为一阵冷热刺激而疼痛不已。一些缺损了的蛀牙常常形成尖锐的齿边,在咀嚼时很容易刮伤口腔的内壁。尤其是到了夜间牙疼加剧叫人无法入眠,因此,蛀牙一定要及时补牙,以免造成小洞不补,大洞受苦的局面。>>点击在线咨询详情<<
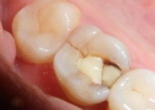
补牙需要多少时间完成,这需要根据患者龋齿的数量、部位、龋病的病变程度而定:>>点击在线咨询详情<<
1、浅龋:龋齿早期治疗较为简单,只需快速性填充治疗即可,补牙时间通常在半个小时到一个小时左右。>>点击在线咨询详情<<
2、中深龋:大部分患者,由于龋病没有得到及早的发现和治疗,当病变的进一步蔓延,此时的补牙难度比较大,需要进行延期充填补牙法,先在洞底封上药物,先观察7-10天,没有症状,牙髓活力测试正常,可再进行填充;若龋病发展成牙髓病、根尖周病,则需先做根管治疗(一般需就诊2-4次),将髓腔和根管内的坏死物质和病菌全部清除,再进行填充治疗。>>点击在线咨询详情<<