动态热点
南宁牙博士口腔江南机构,不管是因为先天的遗传因素还是后天环境因素,人们牙齿畸形的情况非常常见。目前伴随着口腔医疗技术的发展,矫正技术也得到了进一步的升级。隐形矫正不仅仅在矫正效果上更加突出,在矫正期间也更加的美观。冰晶托槽矫正是隐形矫正的一种,受到了众多正畸者的喜爱。接下来听南宁牙博士口腔江南机构专业的口腔医生谈谈托槽隐形矫正价格贵吗。>>点击在线咨询详情<<

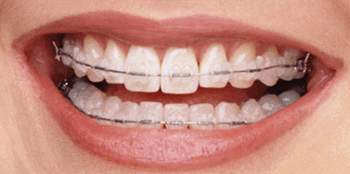
冰晶托槽隐形矫正技术解读
据了解,冰晶托槽矫正它是流行于欧美的正畸器,属于陶瓷半隐形矫正的一种。与此同时,相对于传统钢丝托槽牙套而言的,冰晶托槽矫正在透明性上更胜一筹,可以让很多人在矫正期间避免被人家叫钢牙妹、钢牙哥的情况。由于该技术美观度比较高,因此目前在白领阶层受众很广泛。>>点击在线咨询详情<<
冰晶托槽矫正主要适用于,个别牙错位、压裂拥挤、牙齿不整齐、牙间隙、前牙反合、前牙深覆盖、下颌短缩面型、双颌前突、口唇前突和前牙开合的情况。
冰晶托槽矫正的价格很贵吗?>>点击在线咨询详情<<
冰晶托槽矫正的价格介于传统正畸与全隐形正畸之间,具体还要受其他各种因素的影响。不可避免地,冰晶托槽矫正费用跟矫正难度是有关的。冰晶托槽矫正价格的影响因素有哪些?>>点击在线咨询详情<<
1、患者个人牙齿畸形的状况。不同的牙齿畸形患者,畸形程度不同,矫正的难度不同,自然价格会有所差异,这个相信很多人都能够理解。
2、跟地域、医院、医生都有关系。不同的地域比如南方、北方地域不同消费水平不同,牙齿矫正的费用会有不同。另外,不同资质的医院、不同专业水准的医生,技术不同效果不同,牙齿矫正价格肯定会受到影响。>>点击在线咨询详情<<
以上是对文章托槽隐形矫正价格贵吗的介绍,【温馨提醒】如有疑问还可以点击 在线咨询与我们的专家进行一对一的交流,同时通过网上预约挂号,可享受免挂号费、全口检查费、到院无需排队优先就诊服务。