动态热点
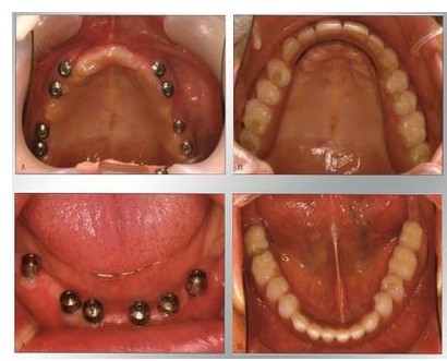
在我们的生活中牙病、意外等情况都有可能导致我们牙齿缺失,不过现在人们对于口腔健康的意识的提升,在出现牙齿缺失之后都会进行修复,种植牙的出现改变了传统镶牙修复的行业境况。其中即刻种植牙凭借外观与真牙无异、良好的生物相容性、口腔咀嚼受力等优点受到广大消费者的追捧和选择。因此对于仿生即刻种植牙的价格也是备受关注,下面我们就一起来听听南宁牙博士口腔江南机构的医生为大家详细介绍一下即刻种植牙的价格是多少吧。>>点击在线咨询详情<<

第一、与烤瓷牙冠种类有关。即刻种植牙需要用到烤瓷牙冠,烤瓷冠的种类有很多,不同种类的烤瓷冠材料不一样,那么价格自然就由有所差异。
第二、与医生的专业水平有关。即刻种植手术一定要选择正规专业的医院,因为这样的医院将会为大家提供健康保证。对于同一地区同一家医院来讲,不同的医生可能价格不同,每个医生的水平都有一定程度的差异。>>点击在线咨询详情<<

第三、与种植牙的品牌有关。品牌是影响即刻种植牙价格的关键因素之一,常见的种植牙品牌很多,品牌不同,价格也会有明显的差异。>>点击在线咨询详情<<
以上就是南宁牙博士口腔江南机构医生做出的简单介绍,希望能对您有所帮助,如果对口腔的相关知识还存在疑问或者还有其他关于口腔疾病的问题您可以在线咨询我院医生会针对您的个人情况做出解答。