动态热点
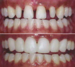
牙齿稀疏不仅影响美观,造成说话漏风、发音吐字不清晰,更重要的是还会导致经常塞牙,引起龋齿等口腔疾病。那么,牙齿稀疏治疗方法有哪些?下面我们就一起来听听南宁牙博士口腔江南机构的医生为大家详细介绍一下吧。>>点击在线咨询详情<<

牙齿稀疏治疗方法有哪些?
牙齿稀疏治疗特别是全口牙齿稀疏,常用有效的方法就是做牙齿矫正,具体来说有以下几种牙齿矫正方法:>>点击在线咨询详情<<
1、金属托槽矫正:这是较为传统的牙齿矫正方法。通过在牙齿上粘贴金属托槽和弓丝,以此向牙齿施加压力,迫使牙齿进行移动并重新排列整齐。金属托槽矫正的有点是价格比较便宜,但缺点是美观度不高。>>点击在线咨询详情<<
2、隐形牙套矫正:这是目前比较受欢迎的一种牙齿矫正方法。隐形牙套矫正的原理是通过利用3D立体电脑技术等高科技,为牙齿量身定制一系列透明牙套,来完成整个矫正过程。隐形牙套矫正的效果可提前预知,且牙套可自由摘戴,易于清洁,美观度也很高。>>点击在线咨询详情<<
3、陶瓷自锁正畸:与传统的金属托槽相比,陶瓷材料的隐蔽性更强,美观度更高,外观上只看到一条极细的弓丝,不认真看根本看不出来。另外,自锁托槽能有效降低牙齿移动的摩擦力,加快牙齿移动的速度,缩短矫正治疗时间。>>点击在线咨询详情<<
4、舌侧隐形正畸:这是一种近些年兴起的牙齿矫正技术,它是通过将矫治器全部安装于舌侧,外观上看不到任何正畸治疗装置,隐蔽性和美观度很高,但这种矫正方式对医生的技术操作要求也很高。>>点击在线咨询详情<<
以上就是南宁牙博士口腔江南机构医生做出的简单介绍,希望能对您有所帮助,如果对口腔的相关知识还存在疑问或者还有其他关于口腔疾病的问题您可以在线咨询我院医生会针对您的个人情况做出解答。