动态热点
我们现在能够使用的牙齿矫正方法是有很多的,有畸形牙情况的人们如果想要恢复牙齿的健康那就离不开矫正技术的使用。但是矫正治疗的价格却并不都一样,不同的人使用不同的治疗方式价格都不同,那么,不同的牙齿矫正方式治疗价格差距大吗?下面我们就一起来听听南宁牙博士口腔江南机构的医生为大家详细介绍一下吧。

不同的牙齿矫正方式治疗价格差距大吗?
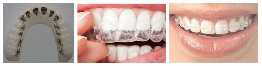
一、金属托槽
金属托槽矫正是我们比较常见的传统的一类矫正方式。普通牙齿矫正整个周期的费用是在数千到上万元不等,使用金属托槽后要每个月复诊一次,而且每次根据治疗情况及材料收费治疗过程长而复杂。>>点击在线咨询详情<<
二、透明托槽
半隐形牙齿矫正技术的使用是很美观的,虽然透明托槽于金属托槽的治疗过程一样长而复杂,但好在是透明的远观很难看出来,所以如今使用透明托槽矫正治疗的人也很多价格差距比较大。不同的牙齿矫正方式治疗价格差距大吗?>>点击在线咨询详情<<
三、隐形牙齿矫正
而隐形牙齿矫正对医生技术和材料要求很高总费用为数万元不等。由于每个人牙齿畸形情况不同,所以治疗难易程度就不同费用也有差别。>>点击在线咨询详情<<
以上就是南宁牙博士口腔江南机构医生做出的简单介绍,希望能对您有所帮助,如果对口腔的相关知识还存在疑问或者还有其他关于口腔疾病的问题您可以在线咨询我院医生会针对您的个人情况做出解答。