动态热点
全口牙种植技术如今已经渐渐进入到人们的视野之中,给很多缺失牙齿的老年朋友带来了福音,如果你也是其中一员,较关心的无非就是全口牙种植的价格了。那么,它的价格到底是多少呢?下面就让南宁牙博士口腔江南机构的医生们给大家做出解答:>>点击在线咨询详情<<

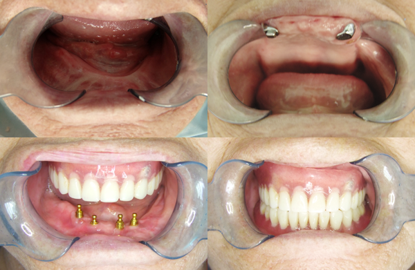
全口牙种植过程
种植牙价格受到以下几个因素的影响:
1、种植牙医生的选择。对于同一个地方,同一家医院来说,医生也是一个很重要的决定因素,医生的技术水准,也是可以决定其价格的高低的,有的医生技术比较好的,它们的价格就不同,医生技术稍微差的,他们的价格也就有所不同。>>点击在线咨询详情<<
2、种植牙术后护理的费用。护理有的时候也被考虑的一个范畴,针对有的护理是免费的,但是,针对额外的护理就是不免费的了,不同的服务就有不同的价格,有的服务价格很便宜。>>点击在线咨询详情<<
3、种植牙材料。一颗种植牙多少钱与种植牙品牌有关,也是影响种植牙价格的很主要的因素,我们平时见过的种植牙的品牌可以有多种多样,品牌不同,他们的价格就有明显的差异,这点是毋庸置疑的。>>点击在线咨询详情<<
经过以上的通读,想必你对全口牙种植的所需价格也有了一定的了解,根据你自己本身的情况,可以选择适合你的治疗方式,牙博士口腔医院凭借精湛的技术和热情的服务一定会让你在开心的过程当中完成治疗,如需预约或者咨询,请点击在线咨询。