动态热点
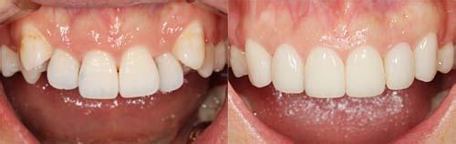
很多朋友可能会觉得长虎牙很可爱,虎牙很多朋友都会长的,虎牙承担着人一辈子口腔里的承重、撕咬和力量传导作用,因此对于虎牙畸形的患者来说,医生一般建议矫正,把虎牙牵扯到正常的位置,而不是拔牙或者磨牙,那么,南宁做虎牙矫正需要多少钱?受哪些因素影响?下面我们就一起来听听南宁牙博士口腔江南机构的医生为大家详细介绍一下吧。>>点击在线咨询详情<<
南宁做虎牙矫正需要多少钱:
1、与医院条件有关:在不同级别的医院会有不同的收费标准,在价格方面自然是有差异的。牙齿正畸选择正规的牙科诊所和经验丰富的正畸医生。>>点击在线咨询详情<<
2、患者的牙齿畸形程度:牙齿排列比较复杂的,矫正难度就会比较大,费用自然要高一些。而且牙齿状况的不同,会使得矫正的时间也不一样,价格也会有所不同。
3、选择的矫正牙齿方式:矫正牙齿有很多不同的方式,其价格上也会有很大差距的。托槽矫正和隐形矫正是两种常见的矫正方式。南宁做虎牙矫正需要多少钱?>>点击在线咨询详情<<

4、矫正患者的年龄:一般来说,孩子做矫正较容易,费用会相对少一点;成年人因矫正难度较大,费用就会相对高一些。>>点击在线咨询详情<<
5、与医生技术有关:正畸医生不仅要精通口腔的治疗,还要有较强的审美观,同时还要具备专业的修复理论、规范的操作和正确的设计等。>>点击在线咨询详情<<
南宁做虎牙矫正需要多少钱?以上就是南宁牙博士口腔江南机构医生做出的简单介绍,希望能对您有所帮助,如果对口腔的相关知识还存在疑问或者还有其他关于口腔疾病的问题请点击在线咨询我院医生会针对您的个人情况做出解答。