动态热点
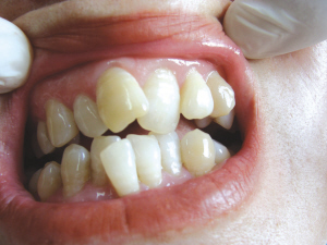
牙齿畸形的种类有很多,牙齿拥挤便是其中的一种,大家都知道,牙齿拥挤的现象是非常不利于我们的个人形象的,并且还很难做好口腔清洁的工作,因此牙齿拥挤的患者是非常容易患上一些口腔疾病的。目前针对牙齿拥挤的问题,我们可以做牙齿矫正的方式来解决问题。不过在治疗之前我们也要先了解一下牙齿拥挤是怎么形成的,下面我们就一起来听听南宁牙博士口腔江南机构的医生为大家详细介绍一下造成牙齿拥挤的原因是什么吧。

造成牙齿拥挤的四大原因:
1、儿童换牙期异常:
孩子患牙的时候出现异常会引发牙齿拥挤,例如乳牙滞留,会对恒牙的生长造成影响,致使恒牙错位拥挤。>>点击在线咨询详情<<
2、颌骨发育不到位:
颌骨发育不足致使骨量不协调,牙齿排列不齐出现拥挤错位。造成牙齿拥挤的原因是什么?>>点击在线咨询详情<<
3、某颗牙齿过大:
人的牙齿数是固定的,占得空间也基本是固定的,某颗牙齿过的大的话,会致使整体牙齿拥挤。>>点击在线咨询详情<<
4、不良口腔习惯:
生活中一些习惯尤其是孩提时代的不良习惯如咬指头等,可能会影响颌骨生长,进而致使牙齿拥挤。>>点击在线咨询详情<<
造成牙齿拥挤的原因是什么?以上就是南宁牙博士口腔江南机构医生做出的简单介绍,希望能对您有所帮助,如果对口腔的相关知识还存在疑问或者还有其他关于口腔疾病的问题请点击在线咨询我院医生会针对您的个人情况做出解答。