动态热点
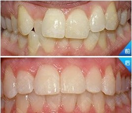
牙齿拥挤应该是生活当中较为常见的牙齿畸形问题了,不仅非常影响美观,也容易危害到患者的心里健康。对于牙齿拥挤问题要及时矫正才好!牙齿矫正的费用问题一直以来也都是大家比较关心的,那么,牙齿拥挤矫正需要多少钱?下面我们就一起来听听南宁牙博士口腔江南机构的医生为大家详细介绍一下吧。

牙齿拥挤矫正需要多少钱?
牙齿拥挤矫正的费用与很多因素有关,具体有以下几点:
1、与选择医院的有关:不同的口腔医院有着不同的收费标准。专业的口腔医院拥有先进的牙科技术及医疗设备,而且会有经验丰富的医师根据您的实际情况进行合理的规划,制定更适合的治疗方案,做到经济划算、效果好。>>点击在线咨询详情<<
2、与患者牙齿拥挤的情况有关:每个人牙齿拥挤的情况都不相同,治疗起来的方案也就不一样,当然矫正牙齿拥挤的费用也不一样,医生会根据您的情况设计更适合的治疗方案。牙齿拥挤矫正需要多少钱?>>点击在线咨询详情<<
3、与矫正所用的方式有关:目前矫正牙齿的方式有很多,都是非常有效果的,包括隐形矫正,传统矫正等,患者所选择的方法不同,那么,矫正牙齿拥挤要多少钱就会有所不同。
牙齿拥挤矫正需要多少钱?以上就是南宁牙博士口腔江南机构医生做出的简单介绍,希望能对您有所帮助,如果对口腔的相关知识还存在疑问或者还有其他关于口腔疾病的问题请点击在线咨询我院医生会针对您的个人情况做出解答。